|
Home
|
|
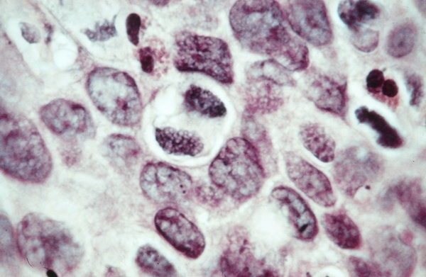
cervix - Infiltrating squamous cell carcinoma - Niche with asymmetric division (See also: DRNEPT1-R01-014.Jpg) Niche surrounded by support cells with one self-renewal daughter cell consisting of spheres and one differentiated tumor cell. (Infiltrating squamous cell carcinoma of uterine cervix [2]) |
This Page Last Updated
Site Contents
|